您当前位置:景德镇市第三人民医院 >> 新闻动态 >> 浏览文章
景德镇市第三人民医院神经外科手术步入“机器人时代”成功完成第二例睿米手术机器人辅助下脑出血引流术
时间:2022年11月17日信息来源:本站原创
近日,景德镇市第三人民医院神经外科顺利开展了第二例利用手术机器人导航,立体定向、微创治疗脑出血手术。
患者程某在家打喷嚏后突发昏迷,恶心、呕吐多次。其家属连忙拨打120送入市第三人民医院就诊。该患者既往有高血压病史数年,这是患者第三次中风,前二次分别为脑干出血与梗死,并长期服用抗凝药物,凝血功能差,脑血管条件差。经过医院副院长、神经外科主任医师宋波与神经外科喻志祥主任团队病例讨论,与患者家属反复沟通并征得同意后,决定全麻下行在睿米机器人下软通道脑内血肿穿刺引流术。
睿米机器人辅助下脑内血肿引流术
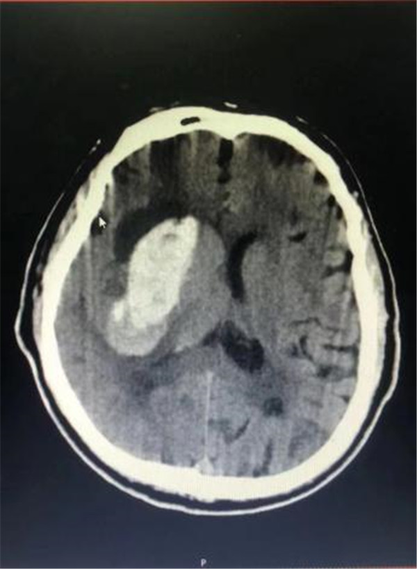
术前CT片 出血量约50ml
该手术是采用了国内首台脑出血手术机器人——睿米RM50来导航。有了这位“智能助手”的帮忙,大大缩短了手术时间,手术过程非常顺利,术后血肿大部分引出,目前,患者体征平稳,恢复良好。该术式达到了微创伤、精准定位、安全高效地对出血性中风病人的脑内血肿定位,穿刺抽吸血肿的治疗目的,同时能一定程度上改善保守治疗时脑内血肿长期压迫所致的神经损伤症状。
精准定位
抽吸出血凝块
相关数据表明,我国目前有超过3亿高血压患者。高血压已经成为脑出血的首要原因,80%以上的脑出血都与高血压有关。高血压最大的危害是损害血管,长期的血压偏高会导致血管老化、硬化,或形成微型动脉瘤,就像水管老化后会变脆一样,血管发生粥样硬化之后血管的弹性也会下降。此时,各种引起血压突然剧烈升高的因素,如漏服降压药、疲劳(如工作时间过长、睡眠不足),情绪激动(如与人争吵、酗酒后过度兴奋)、突然用力(大便用力、使劲咳嗽)等,均可导致已病变的脑血管破裂出血,诱发脑出血。尤其是秋冬交替之时,天气转凉,气温容易骤变,天气也变得更加干燥,这些因素常导致血液粘稠度增加、血管痉挛、血压波动明显,致使因高血压而引发的脑出血。
术后CT 血肿基本清除
众所周知,面对高血压脑出血这一桀骜不驯的“健康杀手”,只能采取保守治疗和手术治疗两种方式。以手术治疗为例,传统的神经外科手术定位主要依靠核磁共振、CT成像和主刀医生的临床经验,手术稍有不慎就可能危及生命。神经外科手术机器人可通过对患者颅脑结构进行细致的三维重建和分析,准确定位靶点位置并辅助医生进行精准治疗,并具备高灵敏度、高精度的自动化机械手臂,有效减少医生手部抖动以及疲劳可能带来的不良后果,帮助医生避开重要血管和神经,规划最优手术路径。同时,缩短了手术及麻醉时间,降低感染风险,提升手术安全性,从而实现传统方式无法比拟的绝佳疗效。
睿米手术机器人
传统手术微创化,微创手术智能化,这将是未来医学的发展趋势。下一步,市第三人民医院神经外科还将把机器人应用于多种神经外科疾病的手术治疗中,着重发展智慧医疗,借助机器人技术,不断提升服务能力和服务水平,为患者的健康保驾护航。(文/图:汪剑飞)








