您当前位置:景德镇市第三人民医院 >> 新闻动态 >> 浏览文章
景德镇市第三人民医院骨一科成功开展僵直膝的人工关节置换术
时间:2022年02月21日信息来源:本站原创
近日,景德镇市第三人民医院骨一科团队成功为一位创伤性右膝关节炎、膝关节强直,关节功能基本丧失的患者施行右膝关节铰链式人工膝关节置换手术,帮助患者恢复膝关节功能,提高生活质量。铰链式人工膝关节置换手术相比膝关节表面置换手术复杂程度较难及更高,主要适用于膝关节僵直合并存在,膝关节内外侧副韧带萎缩,膝关节软组织平衡差的患者……
饱受十几年痛苦的折磨
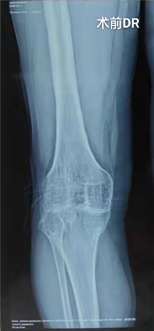
患者王女士,51岁,因右膝关节强直15年入院。
患者约15年前右膝关节受伤后致髌骨骨折,因当地医疗条件受限予以保守治疗后畸形愈合,膝关节畸形、功能障碍,后曾在外地就诊,实行了2次右膝关节软组织松解术,无明显改善。15年来症状逐步加重,现右膝关节呈屈膝15°强直畸形,饱受痛苦,患者为改善生活质量来市三院就诊,入院后经查体及完善相关检查,明确诊断为:右膝创伤性关节炎右膝关节融合;右髌股关节融合。
手术难度复杂,制定最佳方案
经骨一科主任邵建敏和副主任徐军志反复查阅相关资料及科室病例讨论后,与患者及家属沟通并征得同意后,建议行右膝关节铰链式人工膝关节置换手术。完善检查排除手术禁忌后于12月18日在腰硬联合麻醉下为患者行右膝关节铰链式人工膝关节置换手术,术中情况复杂:患者膝关节融合,关节间隙消失,屈曲功能丧失,只能先经验性截骨后使膝关节屈曲得到恢复,后发现膝关节截骨器械无法适配,且患者既往曾行软组织松解手术,术中腓总神经极易损伤。凭借丰富的手术经验,主刀医师在没有借助测量器械的情况下反复修整截骨最后顺利置入假体,术中膝关节活动良好。术后患者踝关节活动正常,术后3天拔管下床活动,右膝屈伸0°-30°,术后经管医师每周随诊,追踪患者功能恢复情况,指导患者功能锻炼,现患者右下肢功能恢复良好,生活质量明显提高,缓慢行走时基本与常人无异。
患者十分感激,对手术十分满意
“我的脚啊15年都没动了,在外面看了很多次都没有治好,经过三院骨一科治疗后,现在基本能和正常人一样行走,我感觉前所未有的开心,非常感谢邵建敏主任和骨一科团队。”出院时患者感慨道。家属向医护人员送上锦旗并表示感谢。
随着当今社会的飞速发展及医疗技术的不断进步,很多关节疾病现在都能通过手术的方式使患者得到满意的疗效,提高生活的质量。景德镇市第三人民医院骨一科在邵建敏主任和徐军志副主任医师的带领下精益求精,不断进步,为广大群众提供更加优质的医疗服务。
景德镇市第三人民医院骨一科咨询电话:0798—8432845
饱受十几年痛苦的折磨
患者王女士,51岁,因右膝关节强直15年入院。
患者约15年前右膝关节受伤后致髌骨骨折,因当地医疗条件受限予以保守治疗后畸形愈合,膝关节畸形、功能障碍,后曾在外地就诊,实行了2次右膝关节软组织松解术,无明显改善。15年来症状逐步加重,现右膝关节呈屈膝15°强直畸形,饱受痛苦,患者为改善生活质量来市三院就诊,入院后经查体及完善相关检查,明确诊断为:右膝创伤性关节炎右膝关节融合;右髌股关节融合。
手术难度复杂,制定最佳方案
经骨一科主任邵建敏和副主任徐军志反复查阅相关资料及科室病例讨论后,与患者及家属沟通并征得同意后,建议行右膝关节铰链式人工膝关节置换手术。完善检查排除手术禁忌后于12月18日在腰硬联合麻醉下为患者行右膝关节铰链式人工膝关节置换手术,术中情况复杂:患者膝关节融合,关节间隙消失,屈曲功能丧失,只能先经验性截骨后使膝关节屈曲得到恢复,后发现膝关节截骨器械无法适配,且患者既往曾行软组织松解手术,术中腓总神经极易损伤。凭借丰富的手术经验,主刀医师在没有借助测量器械的情况下反复修整截骨最后顺利置入假体,术中膝关节活动良好。术后患者踝关节活动正常,术后3天拔管下床活动,右膝屈伸0°-30°,术后经管医师每周随诊,追踪患者功能恢复情况,指导患者功能锻炼,现患者右下肢功能恢复良好,生活质量明显提高,缓慢行走时基本与常人无异。
患者十分感激,对手术十分满意
“我的脚啊15年都没动了,在外面看了很多次都没有治好,经过三院骨一科治疗后,现在基本能和正常人一样行走,我感觉前所未有的开心,非常感谢邵建敏主任和骨一科团队。”出院时患者感慨道。家属向医护人员送上锦旗并表示感谢。
随着当今社会的飞速发展及医疗技术的不断进步,很多关节疾病现在都能通过手术的方式使患者得到满意的疗效,提高生活的质量。景德镇市第三人民医院骨一科在邵建敏主任和徐军志副主任医师的带领下精益求精,不断进步,为广大群众提供更加优质的医疗服务。
景德镇市第三人民医院骨一科咨询电话:0798—8432845






