您当前位置:景德镇市第三人民医院 >> 新闻动态 >> 浏览文章

景德镇市第三人民医院消化内科成功实施市内首例经内镜粘膜下隧道肿瘤切除术(STER)

时间:2013年11月29日信息来源:本站原创

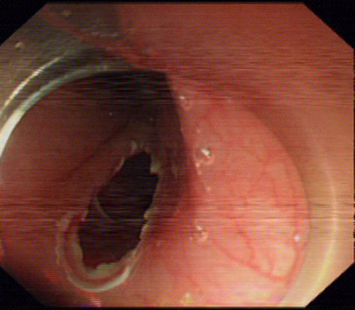
景德镇市第三人民医院消化内科成功实施市内首例经内镜粘膜下隧道肿瘤切除术(STER)

内镜见食管中段肿瘤
 
景德镇市第三人民医院消化内科成功实施市内首例经内镜粘膜下隧道肿瘤切除术(STER)

超声内镜见肿瘤起源固有肌层

景德镇市第三人民医院消化内科成功实施市内首例经内镜粘膜下隧道肿瘤切除术(STER)

在肿瘤上方5cm建立隧道入口

景德镇市第三人民医院消化内科成功实施市内首例经内镜粘膜下隧道肿瘤切除术(STER)

内镜于隧道内见肿瘤

景德镇市第三人民医院消化内科成功实施市内首例经内镜粘膜下隧道肿瘤切除术(STER)

完整剥离肿瘤

景德镇市第三人民医院消化内科成功实施市内首例经内镜粘膜下隧道肿瘤切除术(STER)

金属钛夹封闭隧道入口

景德镇市第三人民医院消化内科成功实施市内首例经内镜粘膜下隧道肿瘤切除术(STER)

切除后肿瘤标本
 
  
  经内镜粘膜下隧道肿瘤切除术(STER)是一种全新的内镜微创技术,该技术于2010年由上海中山医院内镜中心首创并应用于临床,目前省内仅有极个别医院开展了该项技术,近日,景德镇市第三人民医院消化内科成功的运用STER技术为1例食管粘膜下肿瘤患者实施了治疗。

  患者男性,52岁,电子胃镜见食管中段一大小约1.8x1.5cm肿物,超声内镜提示起源于食管固有肌层,传统的治疗方法一般建议外科开胸手术,但其创伤大,费用高,恢复期长,也降低了患者生活质量。消化内科赵赛菊、杨力主任基于近年来科室在内镜治疗技术上的长足发展和丰富的临床经验,仔细研究了患者的病情和影像学资料,在取得患者的知情同意后,决定采用当今最新的内镜治疗技术——经内镜粘膜下隧道肿瘤切除术(STER)为患者切除肿瘤。

  2013年11月18日下午,经精心准备,在内镜中心麻醉呼吸机辅助全麻下,杨力主任运用内镜微创切除器械,于肿瘤上方5cm的食管黏膜纵向切开后,沿食管黏膜下层至肿瘤开辟了一条粘膜下“隧道”, 胃镜于“隧道”内直视下切除肿瘤,再用金属钛夹封闭食管表层的粘膜切口,历时65分钟顺利完成手术,术后第3天进流食,7天后患者康复出院,

  STER技术利用内镜建立的“隧道”,可以一次性完整剥离肿瘤,同时又保持了消化道粘膜层的完整性,与传统外科开胸手术比较,具有创伤小,痛苦少、恢复快、住院时间短,费用低等优点,充分体现了内镜微创治疗的优越性。我院消化内科为 “江西省医学学科省市共建科室” ,近年来,在院领导的关心支持下,科室同仁不断开展高新内镜治疗技术,在已全面开展的消化内镜“3E”技术(内镜粘膜下剥离术(ESD),超声内镜(EUS),十二指肠镜下诊疗(ERCP))的基础上,STER技术的成功实施也进一步标志了三院消化内科总体水平跨入了省内先进行列。
 
 

景德镇市第三人民医院微信公众号二维码

扫一扫
关注我们的微信号